 
        
        
      
    
    DON’T LIMIT YOURSELF, SET OBJECTIVES INSTEAD
Baseline
 
                  
                    
                CBCT
Vertical Grafting
4 Months later
3 Months after placing implants
After exposure and connecting transepitelial abutments
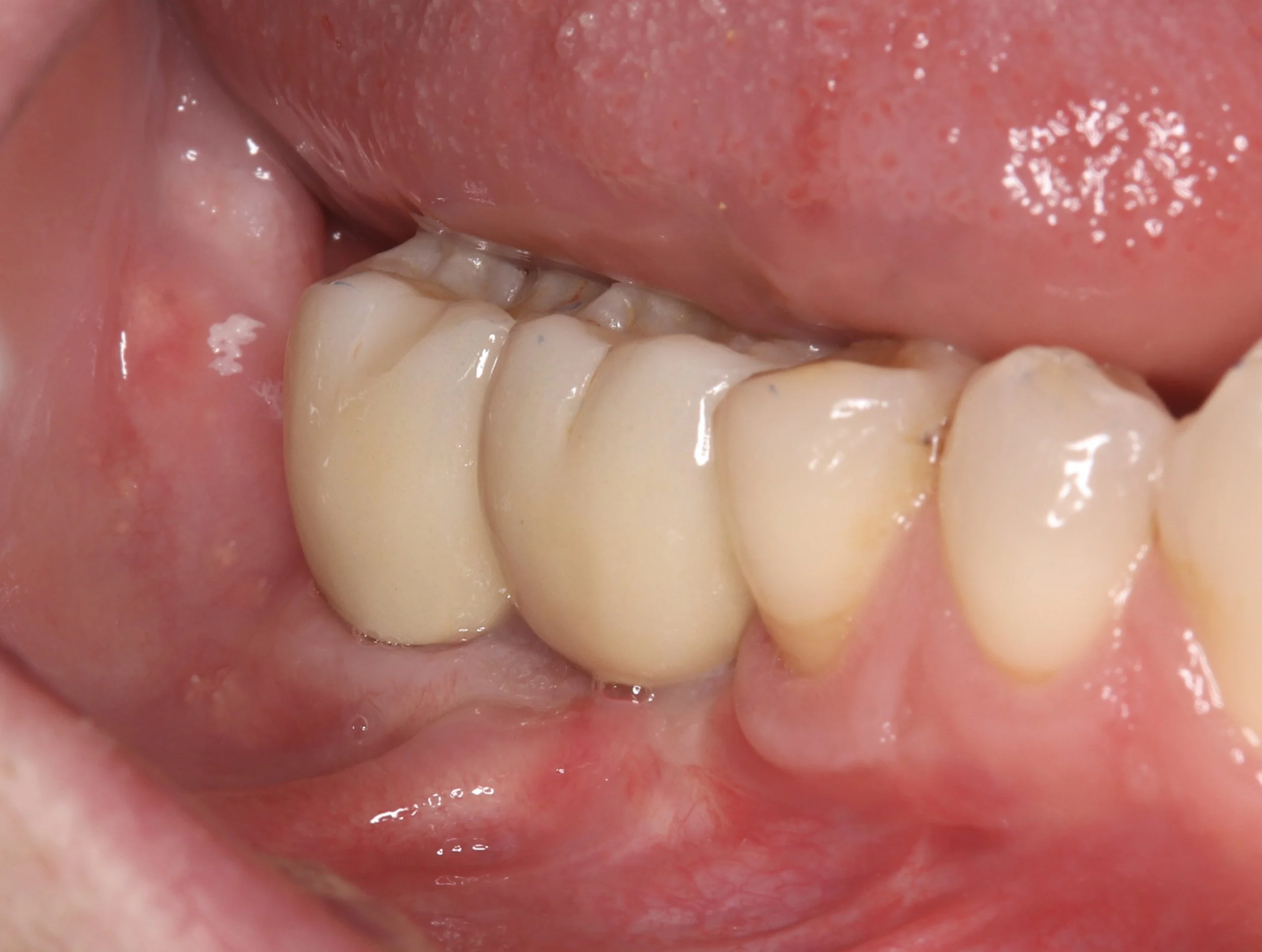
Fitting
 
                  
                    
                Baseline
 
                  
                    
                Baseline
Vertical Grafting
Horizontal Grafting
 
                  
                    
                4 Months later
Re-entry
Implant placement
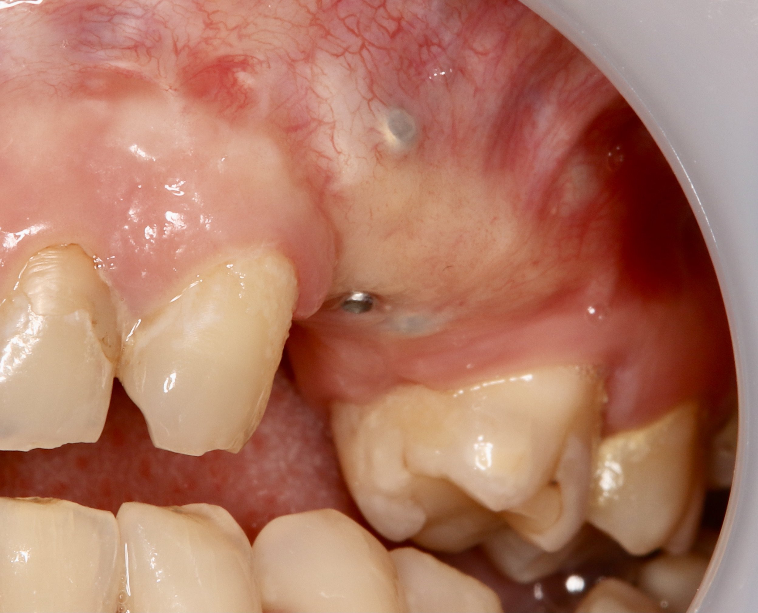
At exposure
Exposure
Day of fitting
Fitting
 
                  
                    
                Baseline
 
                  
                    
                Baseline
 
                  
                    
                Extraction
 
                  
                    
                3 Months healing
 
                  
                    
                Bone defect
 
                  
                    
                Palatal Block
 
                  
                    
                Fixation
 
                  
                    
                Fixation, occlusal view
 
                  
                    
                Implant placement 3 months later
 
                  
                    
                Occlusal view
 
                  
                    
                Connective tissue
 
                  
                    
                3 Months later
 
                  
                    
                Emergence profile obtained with provisional
 
                  
                    
                Emergence profile obtained with provisional
 
                  
                    
                Final restoration
 
                  
                    
                Final restoration
Baseline
Baseline
 
                  
                    
                Baseline
 
                  
                    
                Baseline
Removal of included canine
3 Months later
Bone Defect
Retromolar autogenous plate
Grafting complete
Re-entry 4 months later
Implant placement
Emergence profile obtained with provisionals
Final restorations
Baseline
 
                  
                    
                Baseline
Sinus access
Retromolar autogenous plate
Plates fixed
3 Months later
 
                  
                    
                Before & After site 24
 
                  
                    
                Before & After site 25
Re-entry at 3 months
Implant placement
Connective tissue graft
3 Months later
Fitting